ODONTOLOGÍA ESTÉTICA

ODONTOLOGÍA ESTÉTICA

Odontología estética, Saltillo, México

ODONTOLOGÍA ESTÉTICA

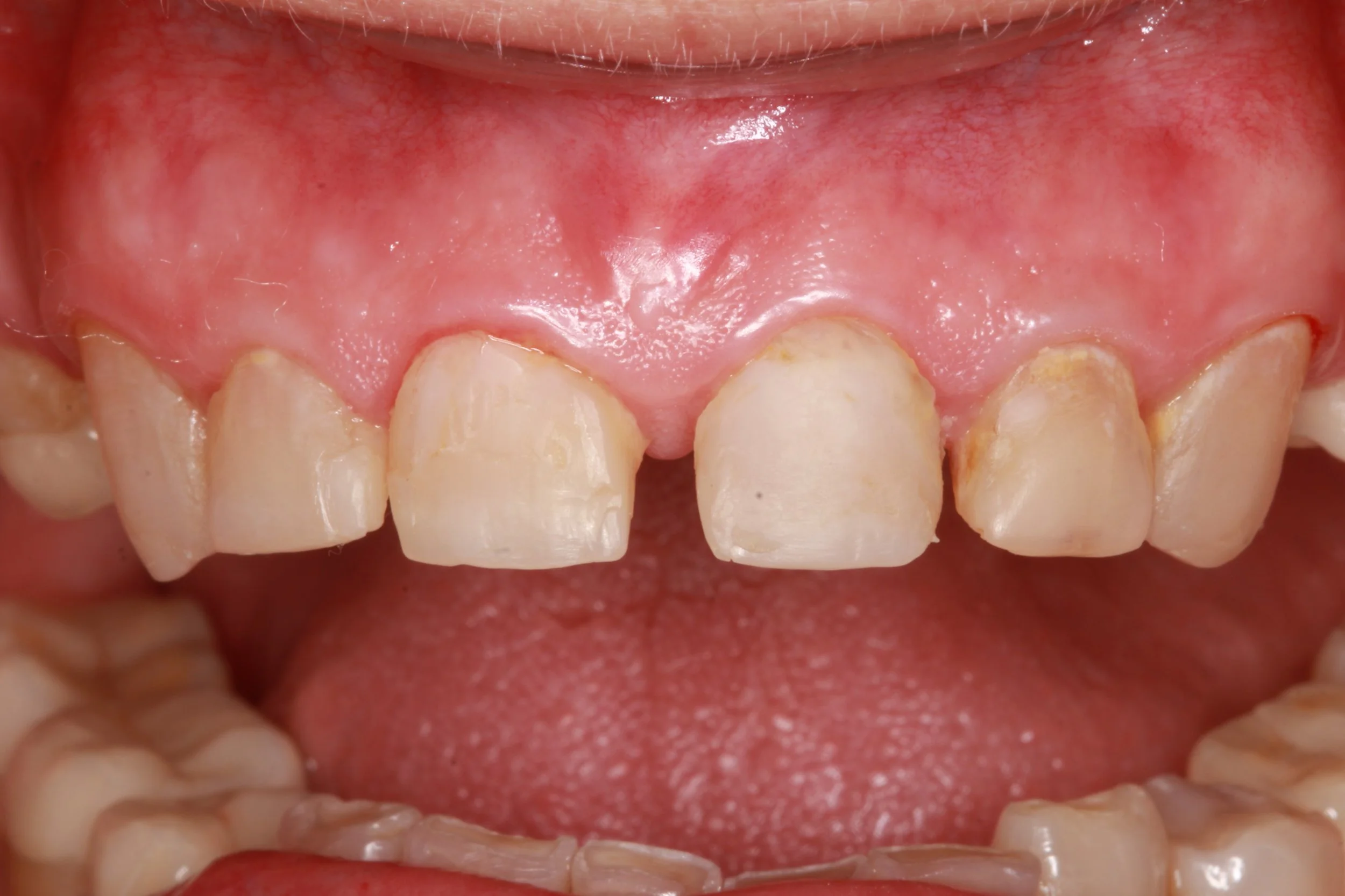
Encuentra una sonrisa luminosa con nuestros tratamientos especializados en estética dental. En nuestra clínica, nos esforzamos por alcanzar la excelencia dental, corrigiendo aspectos como asimetrías, separación entre dientes frontales, alteraciones de color y caries cerca de las encías causadas por fracturas dentales.

ANTES Y DESPUÉS


Carillas de porcelana


Carillas de porcelana


Carillas de porcelana


Carillas de porcelana